Bem-vindo a FaceImagem

Documentação Radiológica Odontológica Digital

Exames de Radiologia Odontológica Digital e Tomografia Computadorizada!
Com atendimento diferenciado, estamos sempre buscando atender as necessidades e desejos de nossos pacientes e parceiros.

FaceImagem

A FaceImagem une ciência e tecnologia, com o objetivo de alcançar a mais precisa qualidade em diagnósticos por imagem.

Com seis unidades estrategicamente localizadas no coração do Grande Recife, a FaceImagem oferece uma ampla gama de exames de radiologia odontológica digital e tomografia computadorizada volumétrica de feixe cônico.

Nosso compromisso é proporcionar aos pacientes serviços de excelência, utilizando as mais avançadas tecnologias disponíveis, garantindo diagnósticos precisos e seguros para uma melhor saúde bucal.

Exames de Imagem

Realize todos os seus exames de imagem em um só lugar!

Exames:

Tomografia computadorizada volumétrica

Exame realizado com o paciente sentado, duração entre 10 e 40 segundos, possibilita a visualização tridimensional do complexo buco-maxilo-facial, permitindo avaliar milimétricamente todas as estruturas de forma precisa e segura. Indicações: Avaliações para cirurgia de implantes dentários, localização de dentes retidos, prototipagens, cirurgias, entre outras.

Documentação ortodôntica digital

Documentação composta de radiografias, fotografias, modelos e análises cefalométricas com o objetivo de realizar um estudo detalhada da interrelação das estruturas dento faciais do paciente. Possibilitando a escolha do tratamento correto para o mesmo. Indicação: Tratamentos Ortodônticos e Ortopédicos.

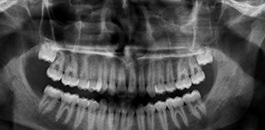
Radiografia panorâmica digital

Exame realizado em apenas 17 segundos. Nosso equipamento permite a combinação de 9 diferentes tipos de arcadas, permitindo imagens nítidas e com altíssima definição.

ScanService

O ScanService surge como uma ferramenta indispensável para clínicas e profissionais que buscam otimizar o atendimento aos pacientes e aprimorar seus resultados. 

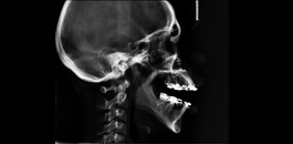
Teleradiografia lateral de perfil

Indicada para realização de análises cefalométricas. Sendo possível a avaliação das estruturas ósseas e respectivas interrelações. Muito indicada para planejamentos ortodônticos e ortopédicos.

Seios da face digital

Muito utilizado para avaliação dos seios da face. Através do software romexis, podemos utilizar as ferramentas de inversão de imagem, brilho e contraste para uma avaliação mais precisa.

 

Radiografia digital das ATMs

Visualização de forma planográfica das ATMs, com boca aberta e fechada.

Interproximal

Indicada para avaliação detalhada das estruturas interproximais.

Oclusal

Radiografia utilizada para pesquisa de dentes impactados.

Periapical

Indicada para visualização detalhada das estruturas dento-alveolares.

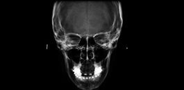
Póstero-anterior digital

Avaliação das estruturas da face.

Cavum digital

Avaliação das vias aéreas.

Nossos Equipamentos:

MORITA X800

O melhor tomógrafo computadorizado do mercado mundial. Sua tecnologia permite a visualização de estruturas com muito mais detalhes e redução significativa de artefatos metálicos. Perfeito para todas as especialidades odontológicas.

Planmeca ProMax 3D

O Planmeca ProMax 3D Classic é caracterizado pela facilidade de uso. Com um painel de controle de fácil utilização, abertura do posicionamento do paciente e fácil visualização de imagens, a unidade sempre oferece uma experiência agradável ao usuário.

Prexion 3D

O Prexion 3D é um tomógrafo computadorizado volumétrico de última geração que proporciona imagens em alta resolução oferecendo maior precisão no diagnóstico final.

Parcerias em Saúde: Nossos Convênios

Amil

Bradesco

Compesa

Correios

GEAP

Unimed Recife

OAB CAAPE

Hapvida

Petrobrás

Infraero

Life

Unna

Rede Odonto Empresas

SASSEPE

Saúde Caixa

Prefeitura do Recife

Prodent

Sul América

DEPOIMENTOS

IRIS LIMA CRUZ
IRIS LIMA CRUZ
2023-07-20
Muito organizado, atendimento super eficiente e rápido. Próximos exames com certeza optarei por fazer na FaceImagem.
Edwandja A.
Edwandja A.
2023-07-19
Diogo Duarte
Diogo Duarte
2023-07-18
Muito bom e rápido atendimento
Layse Silva
Layse Silva
2023-07-17
Ingrid Santos
Ingrid Santos
2023-07-12
DIRESP GCOE
DIRESP GCOE
2023-07-11
Amei todo o atendimento, desde a recepção até o fornecimento do laudo que foi bem rápido. A equipe esta de parabéns
Thais Bruna eu também mulher
Thais Bruna eu também mulher
2023-07-06
atendimento excelente tanto das meninas da recepção quanto aos profissionais que realizam exame todos maravilhos estão de parabéns super acolhedores .
Luana Rebouças
Luana Rebouças
2023-07-06
Maravilhosa! Equipe simpática, atenciosa e muito prestativa ????
Fatima Cardim
Fatima Cardim
2023-07-06
Suzana Fialho
Suzana Fialho
2023-07-05
Equipe nota 10,00!!! Eu estava precisando fazer os exames desde abril. Ontem liguei, expliquei e pedi para que fosse verificado se minha requisição ainda estava no sistema. Eu estava no Rio mar e já era 17:00hs. Fui super bem atendida !!! Patrícia foi super educada, desenrolada e proativa ! Consegui ir na mesma hora e fiz os exames. As meninas do exame também foram maravilhosas , pacientes e competentes. Em meia hora resolvi uma pendência de meses … E tudo foi possível devido a empatia , gentileza e boa vontade das meninas. Realmente fazia tempo que eu não via uma equipe com alegria , energia positiva e um atendimento tão bom. Parabéns meninas !!! Obrigada ❤️

Siga-nos no Instagram

Entre em Contato

SOLICITE UM ORÇAMENTO

Em caso de dúvidas, solicitações ou orçamentos, aguarde 24 horas que entraremos em contato com você.

Segunda a Sexta, 08h00 às 12h00 e 13h00 às 18h00 Sábado, 08h00 às 12h00

Unidade Derby
Av. Agamenon Magalhães, 138
Derby
Tel: (81) 3223.2533 / 3222.6586

Unidade Boa Viagem
Av. Domingos Ferreira, 636
Clinical Center
Tel: (81) 3467.4532 / 3465.2956

Unidade Boa Viagem II
Rua Ribeiro de Brito 1097
Sala 101, Térreo
Boa Viagem 
Tel: (81) 3034.3787 / 3038.4767
Unidade Aflitos
Av. Cons. Rosa e Silva, 1460
Sala 5A
Aflitos – Tel: (81) 3038-2533
Tel: (81) 3038-2533 / 3125.2533 / 98224.2533 / 99998.8787 / 98767.9696
Unidade Rio Mar
Av. Republica do Líbano, 251
Torre C, Salas 1215 e 1216
Pina 
 Tel: (81) 3096.2533 / 3094.2533 / 98125.2533

Unidade Piedade
Av. Bernardo Vieira de Melo, 2203
Piedade

Tel: (81) 3127.4538 / 3127.4710 / Whatsapp: 9.9397-3986